作成者別アーカイブ: Watanabe
242.根管治療
今回も根管治療です。
患者さんに許可を得てアップしています。
今回のケースはかなり難易度が高く、根気・体力・集中力が必要でした。
術前のレントゲンです。
パノラマ、デンタルの写真でわかるように大きな病巣です。また、CT撮影も行いました。CT写真の「前から見た断層撮影」では、オレンジ矢印が病巣で、青矢印が下顎管といって神経線維や血管の束が走行している空間です。この下顎管まで病巣が大きくなれば、唇の痺れなど大きな問題が起きることが予想されるため、慎重に根管治療を行う必要がありました。
さらに、デンタルエックス線写真で確認できるように「破折ファイル」といって根管治療中に折れた器具が残っていました。患者さんの症状としては、痛みと歯茎の大きな腫れがありました。
このような大きな病巣がある場合では、きちんと根管治療を行ってからレントゲンにて病巣が縮小してから被せものへと治療を進めていく必要があるのですが、慌てて被せものの治療がなされ当院に来院されました。
治療はCT撮影により根管の数、走行などが詳細に観察できます。また、前回のケースと同じようにマイクロスコープは必須になります。根管の中を拡大、洗浄を行い、破折ファイルの除去を行いました。この曲がった破折ファイルの除去はとても困難でしたが、何とか除去することができました。
根管治療から4か月後の状態です。この間、治療は3~4回行っています。
術前・4か月後の比較写真です。
根尖病巣はどの写真を見ても縮小しています。これで根管治療は成功といえます。この状態を確認できてから補綴診療を行うべきです。
今回も保険診療で行っています。
またご相談ください。
日本歯周病学会 歯周病専門医・指導医
日本補綴歯科学会専門医
博士(歯学)
渡辺歯科医院
240.根管治療
今回も根管治療のケースです。
左が術前の写真です。矢印部分が大きく感染して黒い影となって写っています。歯の中(根管内)が細菌感染しているためにこのようなことが起こります。
右写真は根管治療(根の中の消毒)を行ってから1年経過後の写真です。黒い影が随分小さくなっています。経過観察に長い期間がかかりましたが、このように治癒を確認した後に補綴治療(被せものを入れる治療)を行うことはとても重要です。
私は、「CT撮影」と「マイクロスコープ」があってこそ根管治療が正確に行えると考えています。全ての患者さんに根管治療を行う場合、「マイクロスコープ」を必ず使用しています。また、保険診療でもマイクロスコープによる根管治療は可能ですし、CT撮影も行うことができます。
正確な根管治療にはこの2つは必須と考えています。
下写真はマイクロスコープによる根管治療です。
日本歯周病学会 歯周病専門医・指導医
日本補綴歯科学会専門医
博士(歯学)
渡辺歯科医院
239.根管治療
「歯茎が腫れた」場合、歯周病と思い込んで来院されることが多いですが、「感染根管」の場合があります。
「感染根管」とは歯の中の歯髄(神経や血管が入った組織)が感染してしまっていることをいいます。この場合、「根管治療」といって根管の中の消毒が必要になります。
左写真は術前です。オレンジ色の矢印部分に黒い影があります。つまり、根管の中が細菌感染してしまっているのです。
右は根管治療後です。黒い影の部分(感染して骨が溶けている部分)が消失し、骨再生が確認できます。
狭い口腔内での根管治療はたいへん困難です。さらに奥歯になると、歯根の数が複数存在し、見えにくくなります。奥歯になるほど根管治療は困難になります。
そこで、CT撮影による精密検査とマイクロスコープの使用は根管治療にとっては必須になると考えています。
また、根管治療後は最低でも1ヶ月は経過観察した上で最終的な薬を入れる必要があると考えています。「黒い影(骨吸収)」が大きな場合では、6カ月以上経過観察し、レントゲンで治癒傾向(黒い影が縮小傾向になっているか)を確認してから最終的な薬を入れる場合もあります。
今回のケースも4カ月以上経過観察してから最終的な薬を入れています。
またご相談ください。
日本歯周病学会 歯周病専門医・指導医
日本補綴歯科学会 専門医
渡辺歯科医院
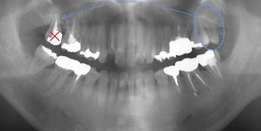
238.親知らずの移植
今回もまた親知らずの移植のケースです。
「歯の移植」を説明すると、そんなことが出来るのかとびっくりされる方も多いですが、親知らずの移植は保険診療で認められています。
赤矢印の歯は歯根破折(根が割れている)しているため抜歯するしかありません。青矢印部分に細菌感染による大きな骨吸収が確認できます。
そこで、赤矢印の歯を抜歯して、黄色〇の親知らずを移植する計画としました。
移植直後の写真です。
移植後2年経過しました。
移植した歯の周囲には歯槽骨の再生も確認でき、良好に経過しています。
この患者さんもとても熱心にブラッシングされます。歯間ブラシ、フロス、歯ブラシの3種類を使用されています。
治療の成功の鍵は患者さん自身のブラッシングにあるようです。
親知らずを抜歯する前に立ち止まってください。移植できるかもしれません!その歯は大事な親知らずかもしれません!!
またご相談ください!
渡辺歯科医院
日本歯周病学会 歯周病専門医・指導医
日本補綴歯科学会 専門医
237.インプラント治療8年経過症例
今回はインプラント治療の紹介です。
患者さんの許可を得てアップしています。
人によっては、インプラントは最善の治療ではありません。その人にとって、またお口の中の状況によって最善な治療は、「入れ歯」であるかもしれませんし、「ブリッジ」であるかもしれません。
その人にとって最善なものがインプラントであった場合にそれを計画すべきと考えています。
70歳女性です。4番が歯根破折(歯の根が折れる)ため抜歯適応となりました。4、5、6と3本の歯がなくなってしまうためブリッジはできません。また、入れ歯にも抵抗があるためインプラント治療を計画することとしました。
インプラントは、4番と6番に計2本埋入予定。4番は9mmの長さ、6番は上顎洞があるためショートインプラント(6mm)を予定しました。
4番と6番にインプラントを埋入した直後の写真です。
それ後8年経過、現在78歳になられました。
7番は内冠(被せものを2重にして取り外せる)を装着して、インプラントと連結したブリッジになっています。
この患者さんは熱心にブラッシングも行ってくださいます。歯間ブラシ、フロス、歯ブラシと3種類使用されており、定期検診ではほとんどプラークはついていません。患者さん自身の努力で良好に経過しています。
渡辺歯科医院
日本歯周病学会 歯周病専門医・指導医
日本補綴歯科学会 専門医
236.歯の移植から4年経過
オレンジ〇に囲まれた歯は重度の歯周病になっています。細菌感染によりオレンジ矢印部分の骨が溶けているのがわかります。青〇部分には2つの歯が重なっています。治療計画は、オレンジ〇の歯を抜歯した後に、青○の重なっている歯を移植する計画としました。
オレンジ〇の歯を抜歯した直後です。大きく骨が喪失してしまっています。感染が大きすぎる場合、抜歯した日には移植せず、後日移植します。
抜歯後2週間ほどで青○の歯を移植しました。移植直後の写真です。
移植から4年後の写真です。青矢印部分の骨が大きく再生しています。
感染していない歯根の表面には歯根膜という組織があります。その歯根膜が移植する際に生きていれば、他の部位に移植しても歯の周りには骨が再生するのです。
またお問い合わせ下さい。
日本歯周病学会 歯周病専門医・指導医
日本補綴歯科学会 専門医
渡辺歯科医院
234.インプラント治療
今回もインプラント治療の紹介です。
私は、インプラント治療は適切に行えば大変有効な治療法の1つと考えています。
赤○部分は以前埋入したインプラントです。今回、青○部分の欠損部にインプラントを計画しています。
上顎には上顎洞という空洞があるため、黄色矢印の範囲内(骨がある部分)にインプラントを埋入する必要があります。骨を造成する方法もありますが、今回はこの範囲で2本のインプラントを埋入する予定としました。1本は10,72mmの骨幅に、もう1本は6.94mmの骨幅に埋入しなければならないため、9mmと6mmのインプラントを使用することにしました。
インプラント埋入直後の写真です。限られた骨幅にインプラントを埋入できています。
術後4年経過のレントゲン写真です。
インプラント周囲の骨も安定しており、良好に経過しています。
4年経過していますが今のところ良好に経過しています。予後が良好なことが最も重要なことと考えています。
インプラントが最良の治療法ではありませんが、入れ歯を回避できたため患者さんの満足度は比較的高いのではないかと考えています。しかしながら、インプラントは歯周病菌に感染し、インプラント周囲炎を起こす可能性があります。
当院は歯周病専門医ですので、歯周病の管理を行いながら無理なくインプラント治療を進めていきたいと考えています。
日本歯周病学会 歯周病専門医・指導医
日本補綴歯科学会 専門医
渡辺歯科医院
233.インプラント治療
今回もインプラント治療です。
インプラントは「歯周病菌」に感染し、「インプラント周囲炎」を起こす可能性があります。
歯が喪失した場合に、治療の第一選択肢としてインプラントありきではなく、「歯の移植(特に不必要な親知らず)」、「ブリッジ」、「入れ歯」を第一に考え、それで対応できない場合に「患者さんの希望」があれば、様々なリスクを説明した上で「インプラント」を選択すべきと考えています。
下写真です。①、②の部分が欠損しており③の歯は傾斜しています。この場合、③の歯も抜歯して3本のインプラントで連結冠を装着する治療計画が一般的であるかと思います。しかしながら、抜歯に抵抗がある場合には、③の歯に内冠という金属冠を被せた上で①、②、③を連結するという方向を選択しました。
インプラントと歯の連結は基本的には行いません。それは、クッションがある歯とクッションがないインプラントを連結することは良くないと言われているからです。そこで、今回のケースは上記の治療計画とし、③の歯に装着する内冠の上にインプラントとの連結冠(これはいざという時に取り外し可能)を装着する予定としました。
①のインプラント埋入後のCT写真です。パノラマレントゲン写真のみではインプラントが正しく埋入されたか確認できませんのでCT撮影を行います。きちんと骨の中央に埋入されたことが確認できます。
②のインプラント埋入後のCT写真です。これもきちんと骨の中に埋入されたことが確認できました。
3か月後にインプラントが骨と結合したことが確認できた後に連結冠装着予定です。
このブログは、「こんな治療法もあるんだ」と認知していただいたり、通院されている患者さんに見てもらえたり、同僚の歯科医に見てもらえれば良いかと思い患者さんの了解を得てアップしています。
インプラント治療も、その患者さんにとってよりベターな他の治療法があれば、それを選択すべきと考えています。それは、インプラントは手術することより、入ったインプラントを感染させずに咬み合わせを維持していくことの方がずっと困難であるからです。慎重に治療計画を立てる必要があります。
インプラント治療を希望されてお問い合わせいただくこともありますが、歯周病治療を優先しますし、咬み合わせに必要な虫歯治療を優先する場合もあり、直ぐにインプラント治療に辿り着かない場合がほとんどです。
歯周病専門医、日本補綴歯科学会専門医として「治療計画」をきちんと立案した上で診療を進めています。
またご相談ください。
渡辺歯科医院
日本歯周病学会 歯周病専門医
日本補綴歯科学会 専門医




































