月別アーカイブ: 10月 2012
36.歯のホワイトニング(神経のない歯)
「綺麗な歯にしてほしい」という患者さんの表現はとても難しく思えます。奥歯をあまり白くしてしまうと、前歯が暗く見える。下の前歯を白くしすぎると、上の前歯が暗く見えてしまう。また、隣の歯に合わせて暗い色にしてしまうと、「折角治療するなら白い歯にしたい」 と思ってしまいます。「主観的な色調」=「客観的な色調」とはなかなかいかず難しいと日々感じています。
色調の合わせ方は、患者さんの要望にあわせるのと、客観的(実際は術者の主観)に見て、いろんなバランスを考慮して選択するのが良いのかなと私は思っています。
そこで、今回は神経がない歯の漂白(ホワイトニング)の紹介です。
ウォーキングブリーチ法といって歯の神経(歯髄)を取った後に歯の中に歯を白くする薬剤を入れ、変色した歯を白くする方法です。
歯の中に漂白剤(過酸化水素と過ホウ酸ナトリウムを混ぜた薬剤が用いられます)を入れ蓋をして、数週間後、歯が白くなった段階で蓋を取り中の薬剤を除去して、最終的な蓋をします。
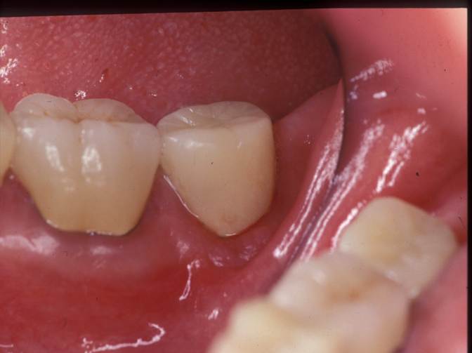
術前写真です。
2回、薬を交換して3週間後です。
綺麗な色になりました。神経を取った後の歯は、裏側から漂白できます。表側のエナメル質が綺麗に残っていて、エナメル質の裏側の象牙質が変色しているためです。
渡辺歯科医院
日本歯周病学会 歯周病専門医
35.それぞれの歯の役割
歯周病治療では、噛み合わせがとても重要です。
まずは、奥歯の噛み合わせがきちんと噛んでいるか。「咬合支持」といって奥歯がしっかり噛んでいないと前歯の負担が大きくなりダメになってしまいます。なんといっても奥歯が重要になります。
そして鍵となるのが犬歯。写真の緑の矢印は上の犬歯が下の犬歯によって擦り減った跡を示しています。
犬歯は、前から3番目の歯です。下顎が右左に動いた時に当たってくる歯です。一般的に顎が左右に動いたときは、犬歯が中心となって接触し、奥歯は接触していないのが良い噛み合わせです。
歯にはそれぞれ役割があります。
・前歯→審美性(見た目)を決める。
・犬歯→顎が左右に動いたときにスムーズに当たって奥歯を守る。ガイドといって重要な役割をします。
・小臼歯→奥歯と犬歯の中間の役割。噛み合わせも負担し、顎が左右に動いたときに犬歯の補助をする。
・奥歯→噛み合わせの力全体を負担して安定させる。
歯のそれぞれの役割は、サッカーのフォーメーションと似ていると思います。サッカーのフォーメーションのように、歯列(歯の並び)にはそれぞれ役割があります。
どの歯にもそれぞれ重要な役割があり、一口腔単位(お口の中全体)でフォーメーションを形成しているのです。
渡辺歯科医院
日本歯周病学会 歯周病専門医



















