月別アーカイブ: 5月 2014
93.これは歯周病?
「歯茎から膿が出てきました。歯周病ですか?」とよく言われます。
写真の矢印の部分を見ていただくと、歯茎から膿が出てきています。
なにが原因でこの膿が出てきたのでしょうか?
次の2つのことが考えられます。①歯周病(歯周炎) ②根尖病巣(虫歯が原因で神経を取った歯)のどちらかの疾患が予想されます。今回はどちらでしょうか?
検査1
歯周ポケット深さを測定すれば歯周病かどうかが分ります。下図のように歯周ポケット深さを測定し、その深さが1~3mm程度であれば歯周病(歯周炎)は考えにくいのです。今回は歯周ポケットは存在しませんでした。
検査2
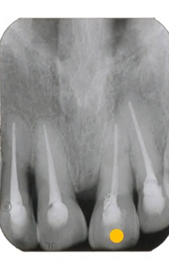
次にレントゲン撮影をします。
このレントゲンで分るのは、神経を取った歯ということです。神経を取った歯は、歯の芯の部分に薬が入っています。よく「歯医者で神経取った」と言われます。歯の中には、神経だけでなく血管が存在します。「神経を取る」というのは、「神経も血管も取る」ということなのです。歯の中の血管を取ってしまえば、白血球が存在しなくなります。神経や血管を取った際に、歯の中に細菌が残ってしまえば後から膿んでくる可能性が非常に高くなるのです。
ですから、できるだけ「神経」は取らない方が良いのです。
※参考に、下図の写真は神経や血管を取っていない歯のレントゲン写真です。歯の中に材料が入っていないのが分ります。つまり、神経のある歯は血が通っていて白血球が警備してくれているため、絶対に膿んでくることはないのです。
結論
ですから、今回のケースでは、①歯茎からの膿、②歯周ポケットがない、③神経(血管も)を取った歯であるため、歯周病ではなく「根尖病巣」といって歯の中で増えた細菌が原因ということが分ります。
今回の治療としては、歯の裏側の詰め物を外して、歯の中に入っている薬を交換し除菌する必要があります。
原因がどこにあるのかで治療法は変わります。是非ご相談ください。
日本歯周病学会 歯周病専門医
渡辺歯科医院
92.「動かない歯茎」VS「動く歯茎」 その2
今回も前回と同じように「動かない歯茎」の重要性を説明します。
このblogでは外科治療の説明が多くなっていますが、それは私が歯周病専門医としてあまり一般的ではない「歯周外科治療」のご紹介をしてその存在を知っていただく意義があると考えているからなのです。
この歯周外科治療は「保険診療」で行うことができ、決して特殊な治療ではありません。当院でも私が勤務していた大学病院と同じように行っている治療になります。
以下の症状がある患者さんは、要注意です。
①ブラシング時に歯茎が痛い、②最近歯茎が下がってきた、③歯が長くなった、④冷たいものがしみるなどの症状が出た場合にご相談ください。
これらの症状がでた場合、虫歯ではなく「歯茎」の問題の可能性があります。
歯周病治療を進めていく上で重要なのが「動かない歯茎(歯肉)」と「動く歯茎(歯槽粘膜)」です。歯の周りの「動かない歯茎」は、歯と付着することができます。しかしながら、歯の周りに「動く歯茎」しかない場合は、歯と付着することが出来ません。歯と歯茎が付着できた方が、歯周組織の健康は維持されやすいと言えます。
歯の周りの歯茎が動いてしまっては、歯周組織が安定しにくいのです。
写真のオレンジ部分の歯茎が痩せてしまっています。
同じ写真ですが、「動かない歯茎」と「動く歯茎」の境界線をオレンジ線で示します。
次に動く歯茎を歯から離して上方向に移動して縫合します。この処置で、動く歯茎が歯から離れます。
次に上顎の裏側から「動かない歯茎」を採取して移植します。
術後です。歯の周りに動かない歯茎が出来たため、歯茎自体にボリュームが出来て安定しました。
歯茎が痩せてきた場合、全てのケースにおいてこのような治療を行う必要はありませんが、「動かない歯茎」を獲得することで歯周組織が安定します。
日本歯周病学会 歯周病専門医
渡辺歯科医院










