月別アーカイブ: 3月 2017
170.重度の歯周病(歯周炎)
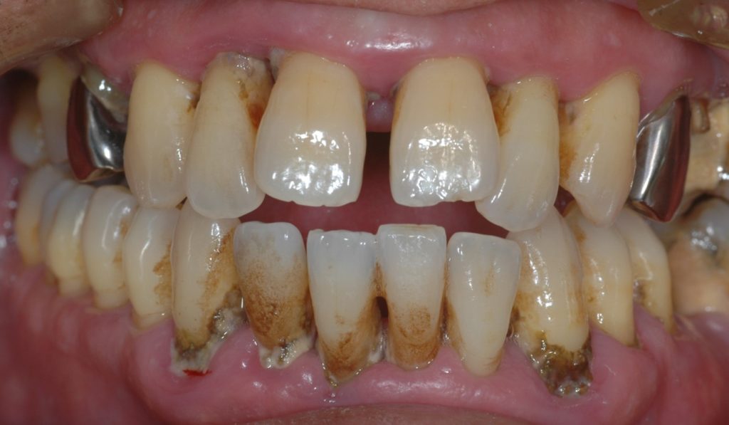
重度の歯周病(歯周炎)のケースです。
まずは初診の写真です。前歯が離れて(正中離開)、歯石(歯ぐきの中の黒い歯石)が目立ちます。また、プラークが多く付着しています。
歯間ブラシと歯ブラシによるブラッシング指導を行い、歯肉縁上歯石、歯肉縁下歯石の除去(スケーリング・ルートプレーニンング)を行いました。
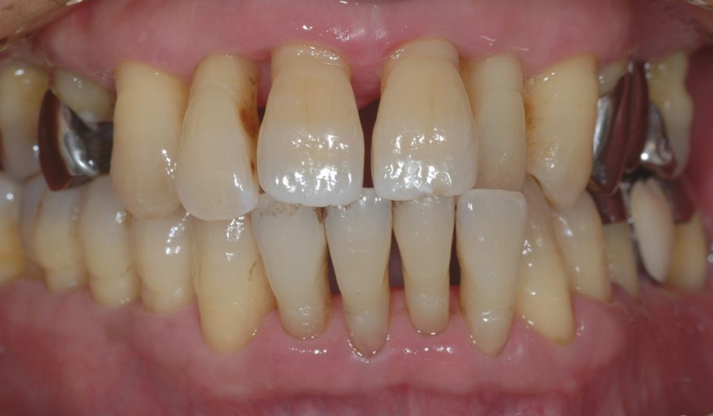
まだ治療途中ですが、下写真のように変化しました。
プラークや歯石が取り除かれ、歯肉の炎症が改善しました。また、上前歯の隙間が小さくなったのがわかります。
病的に歯が動き歯の位置が変化しても、歯周病治療をしていくと歯が本来あった位置に戻っていくことがよくあります。咬み合わせを調整したわけでもなく、矯正治療を行ったわけでもありません。歯周病治療によって炎症が改善した結果、正しい位置に歯が移動したものと考えられます。
この患者さんは熱心に歯間ブラシ、歯ブラシを使って丁寧に日ごろのブラッシングを行ってくださいます。歯石を取るのは歯科医院の仕事ですが、毎日のブラッシングは患者さんの仕事になります。
患者さんと歯科医院が協力してこそ改善するのです。
日本歯周病学会 歯周病専門医
渡辺歯科医院
168.歯槽骨の再生
今回は歯槽骨の再生が認められたケースの紹介です。
下は術前写真です。
オレンジ矢印から9mmの歯周ポケットがあり、また青矢印部分に根尖病巣が認められます。
そこで、根管治療(根の中の消毒)とスケーリング・ルートプレーニングを行いました。歯の中の除菌と歯の周りの除菌を並行して行いました。
術後が下写真です。
オレンジ矢印の部分に骨再生が認められ、歯周ポケットも9mmから3mmに改善しました。また根尖部透過像(根尖病巣:青矢印)も改善しています。
歯周ポケットからの感染と根管内からの感染が合わせて起こった場合はとても治りにくいのですが、良好に改善したケースといえます。
歯周基本治療がとても重要といえます。
3/11に地域で歯周病と虫歯に関する講演を行わせていただきます。そのまとめもアップしていきたいと思います。
日本歯周病学会 歯周病専門医
渡辺歯科医院









