月別アーカイブ: 7月 2017
174.歯の移植手術(親知らず)
今回も歯の移植手術についてになります。
歯の移植は、私が大学病院から小矢部に戻って40症例近くになりました。
今回は手技について簡単に紹介致します。
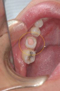
下写真の歯(オレンジ〇)は歯根破折しており抜歯になります。その代わりに親知らず(青〇)を移植する計画としました。
抜歯を行いました。しかしながら、これでは移植する歯が入りません。そこで、抜歯窩の骨を削合して親知らずを移植します。
抜歯窩の骨を削合しました。
上顎の親知らず(青〇)を抜歯しました。
抜歯した親知らずを移植して縫合しました。特別な固定は不要です。
親知らずはこのように移植することも可能です。そのため、保存できる親知らずは抜歯する必要はありません。
また、親知らずの抜歯は保険適応です。今回の症例も保険診療で行っています。
日本歯周病学会 歯周病専門医
渡辺歯科医院








