月別アーカイブ: 6月 2013
74.痩せた歯茎を元に戻す!(歯茎の移植)
今回は、痩せた歯茎を元に戻す治療を紹介します。
まずは、術前と術後の比較から見てみてください。
左が術前写真です。歯茎が痩せていて虫歯になっています。こういう場合、単に削って白い樹脂を詰めるでしょうか?
このケースのように歯茎が薄い場合(付着歯肉の厚みがなく狭い)、白い樹脂を詰めてもまた歯茎が痩せていくことが予想されます。
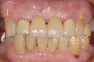
右は、術後写真ですが、白い樹脂は詰めていません。歯茎を作って、虫歯の部分を完全に覆いました。
一体どのようにしたのでしょうか。
次の写真です。
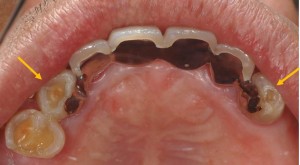
虫歯を除去して、歯茎を一部切開し上顎から採取した歯肉を移植しました。移植した部分は真皮用創傷治癒材のテルダーミスを移植しています。
経過です。
術前→9日後→3週間→5周後→1年2ヶ月後です。5週後で少し歯茎が退縮しますが、その後歯茎が成熟し厚みも増して「クリーピング」が起こって虫歯の部分を完全に歯茎で覆うことが出来ました。縦切開を入れていないので術後も綺麗です。
このように、ただ削って詰めるだけではなく歯茎の性状をよく観察し、その後の処置を決定することが重要です。ブラッシングを改善するだけでも歯肉退縮が改善してくる場合もあります。「付着歯肉(動かない歯茎)」の存在はとても重要です。
矯正治療後など、歯茎が下がってお困りの方など当院にご相談ください。
渡辺歯科医院
日本歯周病学会 歯周病専門医
70.歯を半分残す!
今回は、根分岐部病変(根と根の間の歯周病)の説明です。
患者さんには難しいかもしれません。
まずエックス線所見です。○で囲んだ部分に骨吸収が認められます。
被せ物を外して土台の状態です。歯周ポケット検査は、手前(8mm、9mm)と奥側(5mm、5mm)です。要は、歯と歯の間から歯周病が進行してしまっています。
この歯は、抜歯適応かもしれませんが根が2つあるため1根のみ抜歯して頬側の根を残しました。
歯周病が進行してしまった歯、特に奥歯は根が2~3本あります。歯自体抜歯するのではなく、1/2もしくは1/3のみ抜歯することで歯を保存することもできます。
被せ物が装着された状態です。
渡辺歯科医院
日本歯周病学会 歯周病専門医

















