月別アーカイブ: 12月 2014
101.歯槽骨の再生(GTR法と自家骨移植術)
今回は、限局した部分に重度歯周炎が認められたケースです・
○で囲んだ部分に深い歯周ポケット(9mm)があります。
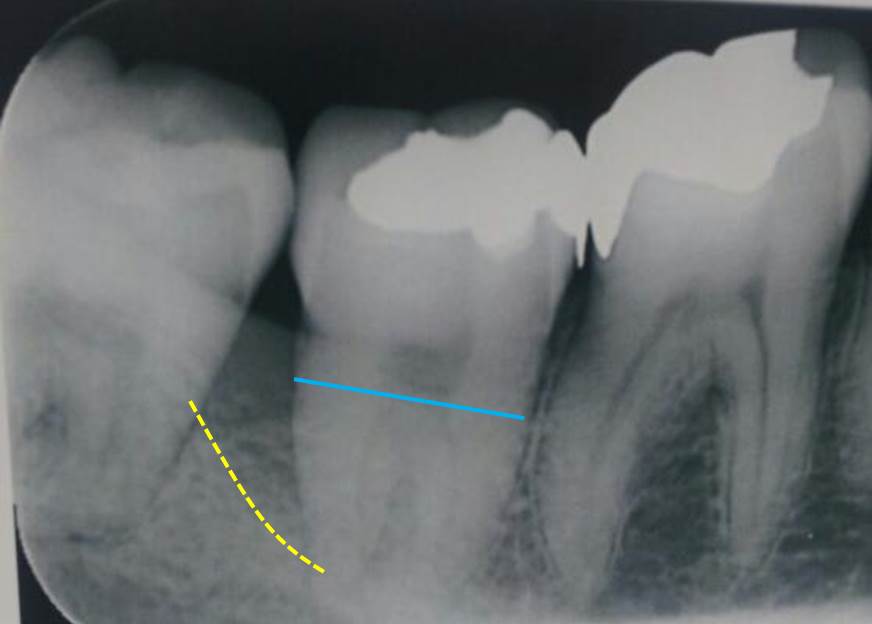
レントゲン写真です。黄色の点線が骨欠損底部(骨が吸収したライン)になります。重度の歯周炎です。
歯周基本治療が終了して、歯周外科手術中の写真です。
点線部分に広くて深い歯槽骨の欠損が認められます。
そこに、自家骨を移植しました。
その後、GTR膜を固定して縫合しました。
術後8ヶ月後のレントゲン写真(左が術前、右が術後)です。歯槽骨の再生が確認できます。歯周ポケットも改善し、プロービングデプスは3mmになりました。
このケースでは、プラークによる細菌感染はもちろんですが、歯ぎしりによる噛み合わせの因子が強く関わっていたため歯周炎が重篤化したと思っています。
この患者さんは、ワンタフトブラシ、歯間ブラシ、フロスと3種類の清掃器具を使ってきちんとブラッシングされています。また、夜間の歯ぎしりを防止するためにマウスピースを使用して就寝されています。
患者さんの協力があってこそ治療が成功したケースです。どれだけ上手く手術してもプラークコントロールが出来ていなければ治療は成功しません。
日本歯周病学会 歯周病専門医
渡辺歯科医院










