月別アーカイブ: 5月 2020
232.インプラント治療
今回はインプラント治療です。
前回のケースのように歯の移植やブリッジができない場合で、義歯(入れ歯)を入れたくない場合はインプラントを選択します。
4,5,6,7と4本の歯が喪失していますので3と8を支台としたブリッジも歯の移植も不可能な状態です。そこで、インプラントを選択しました。
インプラント埋入後2年の写真です。4,5,6の位置に3本のインプラントを埋入しました。インプラント周囲の骨も喪失しておらず良好に経過しています。インプラントは「歯周病菌」に感染して「インプラント周囲炎」を起こすことがありますので、インプラント埋入後の管理が重要です。
またご相談ください。
渡辺歯科医院
日本歯周病学会 歯周病専門医
日本補綴歯科学会 専門医
231.親知らずの移植
今回も歯の移植の症例です。
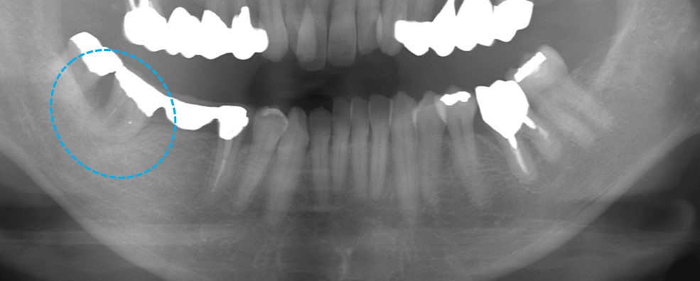
オレンジ〇の歯が重度の歯周病で抜歯適応となりました。
青〇の親知らずが浮き上がってきており、この親知らずも抜歯適応です。
しかしながら、この親知らずをただ抜歯するだけでは勿体ないので、オレンジ○の歯を抜歯した後に移植することにしました。
親知らずの移植直後の状態です。この後、根管治療を行いました。
移植後数カ月の写真です。ブリッジを装着して予後良好です。
インプラントを選択する前に、このように利用できる親知らずがあれば移植することが治療の第一選択と考えています。
親知らずを抜く前に、立ち止まってみましょう。移植に利用できるかもしれません。
日本歯周病学会 歯周病専門医
日本補綴歯科学会 専門医
渡辺歯科医院








