月別アーカイブ: 9月 2013
80.インプラント右下奥歯
インプラント治療のご紹介です。
右下の欠損部に取り外しの入れ歯が装着されていました。しかし、入れ歯ではない方法で右だけでもしっかり噛みたいということで、インプラント治療を希望されました。歯周病治療が完了し、インプラント治療に移行しました。
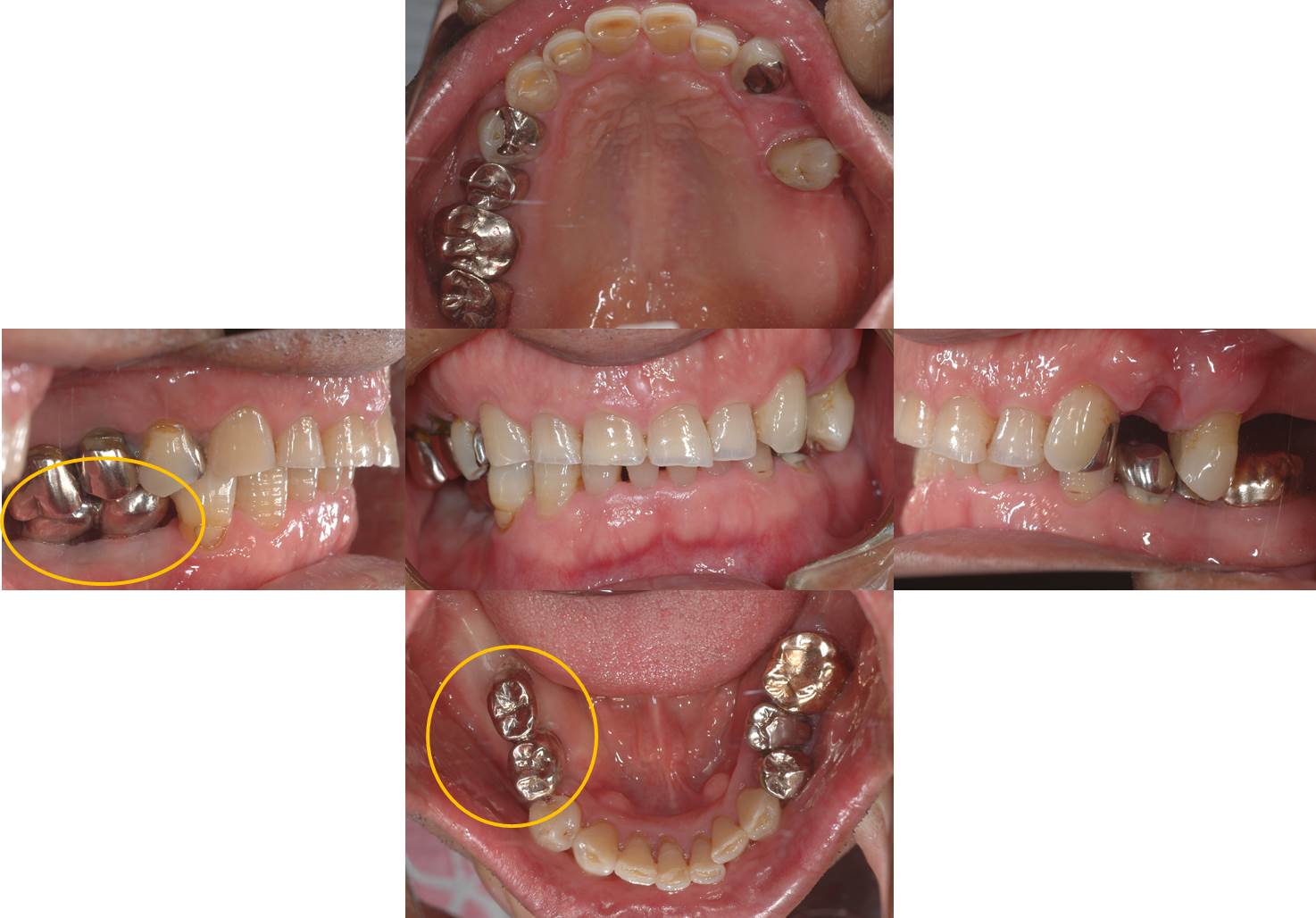
口腔内写真です。
オレンジ○部分の歯が喪失しています。
X線写真です。
インプラント埋入直後の写真です。
術後の口腔内写真です。
インプラントの上部構造は金属冠としました。(技工:S.Yonehara)
被せ物はいろいろな補綴装置が選択することができます。色調を気にされる方は、セラミックや硬質レジン(硬質プラスチック)も選択することができます。
色調を気にされない方は壊れにくい金属がお勧めです。
術後のエックス線写真です。
問題なくインプラントが埋入されています。
歯周病の問題もなく、4か月ごとのメインテナンスを行っています。
渡辺歯科医院
日本歯周病学会 歯周病専門医
79.インプラント(下顎奥歯)
インプラント症例です。
上顎前歯と下顎奥歯が虫歯が原因で欠損しています。取り外しの入れ歯が合わないため、インプラント治療を希望されました。
術前のレントゲン写真です。
緑○部分とオレンジ○部分が欠損しています。
緑○部分は歯を切削してブリッジを予定し、オレンジ○部分はインプラントとする計画としました。
術後のエックス線写真です。
下顎にそれぞれ2本ずつインプラントを埋入し、金属冠(インプラント同士のブリッジ)を装着しました。(技工:S.Yonehara)
口腔内写真です。
インプラントは治療計画がとても重要です。「インプラントのみ」で計画を立てるのではなく、その他の歯がどのくらい寿命があるのかを考えなければなりません。歯周病に罹患しているのかどうか、神経を取った歯がどの部位にどのくらいあるのかがとても重要です。インプラントも歯周病菌に感染してしまうのです。
当院は歯周病専門医ですから、術前・術後の歯周病の管理もきちんと行っていきます。
渡辺歯科医院
日本歯周病学会 歯周病専門医
78.歯を削らず歯肉を作ろう!
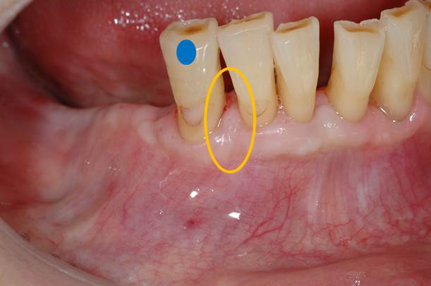
歯科矯正後に「歯がしみる」という主訴で来院されました。いわゆる知覚過敏で虫歯ではありません。歯肉が薄く、動かない歯肉が少ないために歯肉が痩せてしまっています。さらに矢印の部分の小帯が歯肉を引っ張っています。
この部分の歯を削って詰めても、歯肉が薄いために知覚過敏がおこっているので、解決しません。歯に詰めるのではなく、歯肉を作れば良いのです。
術前写真です。
ヨウド(J)で歯肉を染めたところです。歯肉が黒く染まっている部分が歯槽粘膜といい、この部分が歯の根元の部分まで覆われているために歯肉退縮が起こってしまうと考えられます。
上顎口蓋から歯肉を採取し、移植しました。
術後です。しっかりとした付着歯肉が獲得でき、安定しています。
術前術後の比較です。術前と術後では歯肉の厚み、幅が違うのが確認できます。露出した歯根部分に歯肉が被ってきました。
知覚過敏も改善されました。歯を削ってしまえば、失った歯は二度と戻ってきません。歯肉を作ることで、知覚過敏が解消されることも多いのです。
「動かない歯茎」と「動く歯茎」があることは以前に御紹介しました。歯肉の健康をきちんと管理していくには「動かない歯茎」、いわゆる「付着歯肉」が必要になるため、付着歯肉幅が足りない場合は上顎から角化歯肉を移植して環境を整える場合があります。これを遊離歯肉移植術といいます。
渡辺歯科医院
日本歯周病学会 歯周病専門医
77.フラップ手術
歯周病が進行した場合、「付着の喪失」が起こります。歯と歯肉の結合が破壊されてしまい、歯槽骨の吸収が進行してしまいます。
失われた付着を、「再付着」させるために歯周基本治療においてSRP(歯の根の部分の歯石を除去して磨くこと)を行います。
しかしながら、SRPを行っても「歯と歯肉の再付着」が達せられない場合もあります。そこでSRP後に再評価をして、深い歯周ポケットが残存した部位に対して歯周外科処置を行います。
歯周外科処置を行わず、歯周ポケットが残ったままメインテナンスに移行する場合もありますが、基本的には歯周外科処置を行って確実に歯肉の中の除菌を行っていくことが重要であると考えています。
今回は歯周外科処置の中でも最も基本的なフラップ手術の紹介です。
青の歯のオレンジ部分に7mmの歯周ポケットが存在します。
歯肉を剥離して、掃除が終了した状態です。(オレンジの点線部分が失われた歯槽骨)
縫合が終了した状態です。
歯周外科処置は「抜歯」する訳ではありません。つまり、外科的侵襲はとても少ない処置です。そして、全てのケースで歯周外科処置を行う訳でもありません。歯周基本治療のみで治る場合も多いです。
いろいろなケースをブログでご紹介したいと考えています。
渡辺歯科医院
日本歯周病学会 歯周病専門医

















