月別アーカイブ: 1月 2017
165.GTR法
今回はGTR法の紹介です。
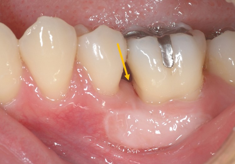
下写真は術前です。オレンジ矢印部分に6mmの歯周ポケットが存在します。
実際に歯肉を剥離したのが下写真です。オレンジ部分に骨吸収(歯周病で骨が喪失した部分)が確認できます。
通常のフラップ手術は、骨吸収部分の清掃(具体的には不良肉芽の除去とルートプレーニング)をして歯肉を元の状態に戻します。
しかしながら、そのまま歯肉を元の状態にもどしてしまうと、上皮部分(歯肉表層部分)の治癒力が早く骨欠損部分に入り込んでしまい歯肉繊維や歯槽骨が再生できない環境になってしまいます。
そこで、GTR法が開発されました。『GTR法』とは、『Guided Tissue Regeneration technique』の略で、日本語では、『歯周組織再生誘導法』と言います。
上皮部分が骨欠損部分に入り込まないように遮断する膜を設置して、その間に歯肉線維や歯槽骨を作る細胞を膜の下に呼び込み再生させるというものです。
下写真は骨欠損部分にGTR膜(遮断膜)を設置したところです。骨欠損部分が遮断膜で覆われ、歯肉が入り込むのを防ぎます。膜は白色ですが、血液を含んで赤く染まっています。
私は、何種類かのGTR膜を使用した経験がありますが、コラーゲン膜(コーケンのティッシュガイド:現在保険適応外)が組織親和性も高く個人的な感想としてはこの材料が最も優れていると思います。
GTR膜の上に元の歯肉を戻して縫合しました(下写真)。
この後は6か月間経過観察し、レントゲンや歯周ポケット検査を行って再評価します。
歯周病で骨を失っても、部分的なものであれば再生させることも可能です。またGTR法など再生外科療法と呼ばれるものを行わなくても歯周組織が再生することもあります。
歯周病治療成功の鍵は、①患者さん自身のプラークコントロールをいかに上手に行ってもらえるか、そして次が最も重要なことなんですが、②私たち歯周病治療専門家の説明を患者さんがどれだけ受け入れてくれるかが大切と考えています。
歯周病でお困りの方がいらっしゃいましたらご相談ください。
日本歯周病学会 歯周病専門医
渡辺歯科医院
164.神経をなるべく取らない!
本年もよろしくお願い致します。
今回は神経を取らずに行った土台製作の症例です。
下図のように残根状態(根だけの状態)になった場合にどのように冠を製作すればよいのでしょうか。
通常は、神経のない歯であれば、下図のように土台を立てていきます。
それでは神経が残っている歯はどうすればいいのでしょうか。通常は神経を取った後に土台を立てればよいのですが、歯の中には神経だけでなく「血管」「細胞」など重要なものがあります。
実際、歯の中には「歯髄」といって「神経線維」「血管」「細胞」を含んだものがあります。下写真は歯の中からとった「歯髄」を示します。歯の中には実際、このような組織があり、この中に「神経線維」「血管」「細胞」があるのです。
今回はこの歯髄を取らずに土台を立てました。
まず周りにホール(穴)を形成します。(下写真:赤点線部分に歯髄がある)
次にファイバーポストを5本スーパーボンドにて植立します。(下写真)
コンポジットレジンを築盛しました。(下写真)
このように歯髄腔を避けてホール(穴)を形成して土台を製作す方法も行うことができます。(※歯の幅が薄い場合はできません。)
歯の中の歯髄を取ってしまえば、歯の寿命も短くなることも考えられます。できるだけ歯の神経は取らないようにすることが重要です。
では歯髄を取ることが全て悪いことなのかといえば、そうでもありません。歯周病治療でよく遭遇する「根分岐部病変」。奥歯では歯の根が2~3本あり、そのうちの1本か2本が重度の歯周病になってしまった場合、残った正常な根を残すために保存不可能な根だけを抜歯する方法があります。そのときは、歯髄を取る必要があります。
つまり、歯髄を取るかどうかは①術者の技量、②根分岐部病変があるかどうかなどケースバイケースといえます。
日本歯周病学会 歯周病専門医
渡辺歯科医院














