月別アーカイブ: 10月 2013
82.上顎大臼歯の歯周病
歯周病の治癒には、歯根自体の解剖学的形態が大きな鍵を握ります。
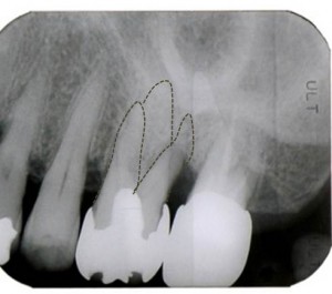
歯根が本数が多くなるほど治療は困難になります。特に、上顎大臼歯部においては歯根が3本(模式図)あります。噛み合わせの力を負担するには歯根の本数が多い方が力学的には有利ですが、歯周病に感染すると歯根と歯根の間に感染が波及し治癒は困難となります。
X線写真です。歯根が3本あることが分ります。
以下の写真は、②の歯根の骨吸収が進行したため1根のみ抜歯を行いました。残りの①と③の歯根に対して土台を立てブリッジを装着しました。
①と③の間は歯間ブラシで清掃できる環境となっています。
このように、歯を1本丸々抜いてしまうのではなく、部分的に抜歯を行うことも可能な場合があります。
日本歯周病学会 歯周病専門医
渡辺歯科医院
81.親知らずは歯周病の原因になる?
よく、「親知らずは抜かないといけませんか?」と質問されます。
親知らずは、前から8番目の歯のことをいいます。以前ブログでご紹介したように、親知らずは「歯の移植」や「入れ歯の鉤歯(針金をかける歯)」や「ブリッジの土台」として利用することができます。真っ直ぐ生えてる親不知は抜かずに使えることができます。
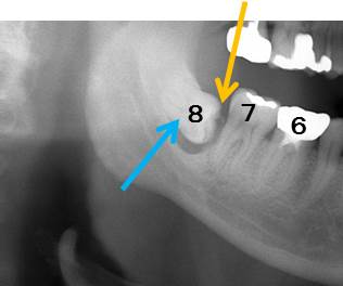
しかしながら、以下のレントゲン写真を見てください。7番の奥に水平に親知らずが向かってきています。7番の奥の歯槽骨が吸収していることが分ります。
この場合、歯周ポケットが9mm以上ありました。つまり、7の奥の歯肉の付着が喪失し、親知らずの周囲にまで感染が拡大しています。放置した場合、7番まで骨吸収が進み抜歯になってしまいます。
親知らずは全て抜く必要はありませんが、このようなケースの場合は抜歯適応となります。
渡辺歯科医院
日本歯周病学会 歯周病専門医






