月別アーカイブ: 4月 2014
91.「動かない歯茎」VS「動く歯茎」
今回は歯茎の種類についての説明になります。以下の症状がある患者さんは、要注意です。
①ブラシング時に歯茎が痛い、②最近歯茎が下がってきた、③歯が長くなった、④冷たいものがしみるなどの症状が出た場合にご相談ください。
これらの症状がでた場合、虫歯ではなく「歯茎」の問題の可能性があります。
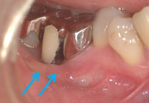
歯周病治療を進めていく上で重要なのが「動かない歯茎(歯肉)」と「動く歯茎(歯槽粘膜)」です。歯の周りの「動かない歯茎」は、歯と付着することができます。しかしながら、歯の周りに「動く歯茎」しかない場合は、歯と付着することが出来ません。歯と歯茎が付着できた方が、歯周組織の健康は維持されやすいと言えます。
歯の周りの歯茎が動いてしまっては、歯周組織が安定しにくいのです。
青の矢印は動く歯茎が歯の周りまで伸びてきているために、患者さんのブラッシングを邪魔します。
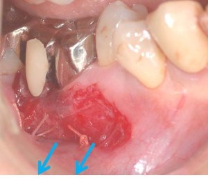
そこで、歯周外科処置によって、動く歯茎を下方向に移動しました。
そして、上顎の裏側より、「動かない歯茎」を移植しました。
上顎裏側の緑○部分より移植し、創傷治癒材でカバーしています。
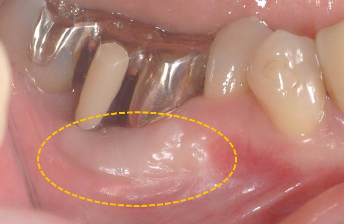
オレンジ○の部分が移植後2ヶ月になります。
動かない歯茎(歯肉)が形成され、ブラッシングが行いやすくなっただけではなく、歯と付着することで歯周組織の健康も維持されやすくなりました。
大きな手術ではありません。保険治療で行うことができます。
当院は歯周病専門医です。様々な歯茎の問題を専門的に解決していけるように取り組んでいます。
日本歯周病学会 歯周病専門医
渡辺歯科医院






