月別アーカイブ: 1月 2014
89.歯と歯の間の清掃 part 2
新年を迎えました。本年もよろしくお願い致します。
ウーリス記事(ライター:坂本正敬さん)「1本では駄目!虫歯知らずの人が「3本のブラシ」を使う理由」がアップされました。http://wooris.jp/archives/61406
是非ご覧になってください。この記事では、歯ブラシにおいて3つの道具(①歯ブラシ②歯間ブラシ・フロス③タフトブラシ)が必要であると訴えています。
ここで、②歯間ブラシ・フロスの重要性を確認したいと思います。
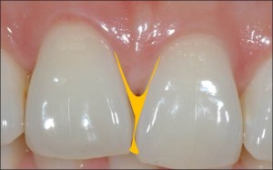
前歯の写真です。単純に考えて歯には4面(表、裏、側面)存在します。歯ブラシでは側面のブラッシングは不可能です。どうやっても当たりません。どんなに歯ブラシに自信がある方でも、「側面」は清掃できないのです。
オレンジの部分は、歯ブラシが届かない範囲です。この部分で虫歯になったとします。そこの部分を治療したとしても歯間ブラシ・フロスを使用しなければまた必ず虫歯になってしまうでしょう。
特に歯周病は、歯と歯の間のブラッシングが治療の成功の鍵を握っています。
歯間ブラシの清掃可能範囲です。この範囲は少ないように見えますが、歯周病治療においては、この部分の清掃が最も重要です。
次にフロスの清掃可能範囲です。コンタクトポイントといって歯と歯の接触点の清掃はフロスが必要になります。
歯間ブラシとフロスの両方を使用した方がよいのですが、「歯周病メインの治療」「虫歯メインの治療」でどちらかの使用にしていただいている場合が多いです。患者さんに合わせて清掃道具の選択を当院では行っています。
清掃道具も清掃範囲があります。野球でも、内野や外野など野手の守備範囲があります。内野の選手が外野まで守れません。歯ブラシも歯と歯の間までは清掃できないのです。
日本歯周病学会 歯周病専門医
渡辺歯科医院






